Laboratório de Prótese Dental para Cirurgiões-Dentistas que Buscam Excelência

O C.I.R.O. Lab é o parceiro ideal para cirurgiões-dentistas que buscam confiança nos processos, previsibilidade nos resultados e excelência estética para seus pacientes.

Laboratório de Prótese Dental para Cirurgiões-Dentistas que Buscam Excelência

O C.I.R.O. Lab é o parceiro ideal para cirurgiões-dentistas que buscam confiança nos processos, previsibilidade nos resultados e excelência estética para seus pacientes.

Mentoria com Dr. André

Mentoria e acompanhamento do Dr. André garantem planejamento clínico personalizado, decisões seguras e execução precisa. Do diagnóstico à cimentação, você recebe suporte, revisões e feedback para resultados estéticos e funcionais.

Fluxo Digital e Analógico

Fluxo interno 100% digital, mas recebemos moldagens e modelos em gesso. Envie STL/PLY que integramos; se preferir PVS/alginato, digitalizamos. Você escolhe o fluxo; nós garantimos prazos, qualidade e resultado.

ScanService

Levamos scanner e técnico à sua clínica: captura precisa, entrega rápida e retrabalho reduzido — sem custo. Adote fluxo digital sem comprar equipamento; agende e receba arquivos STL/PLY e DICOM.

Qualidade, Precisão e Agilidade

Equipamentos de ponta e materiais premium garantem precisão. Comunicação direta do dentista com a equipe agiliza decisões. Fluxo digital interno acelera prazos com segurança, mantendo qualidade do planejamento à cimentação.

Dr. André Luís Teixeira Barbosa — Speaker Straumann Digital para a América Latina e Responsável Técnico do C.I.R.O. Lab

“Sou dentista como você. Por isso, cada caso é planejado com olhar clínico — não apenas técnico.”

Dr. André_Onelab (5)

No C.I.R.O. Lab, cada prótese nasce da vivência de consultório do Dr. André Luís Teixeira Barbosa (CRO-GO 5461)Speaker da Straumann Digital para a América Latina e Responsável Técnico do C.I.R.O. Lab. Esse é o nosso diferencial: um laboratório liderado por um profissional com mais de 25 anos em reabilitação oral, que traduz a prática do dia a dia em protocolos digitais precisos.

Dr. André Luís Teixeira Barbosa — Speaker Straumann Digital para a América Latina e Responsável Técnico do C.I.R.O. Lab

"Sou dentista como você. Por isso, cada caso é planejado com olhar clínico — não apenas técnico"

No C.I.R.O. Lab, cada prótese nasce da experiência de consultório do Dr. André Luís Teixeira Barbosa (CRO-GO 5461)Palestrante da Straumann Digital para a América Latina e Gerente Técnico do C.I.R.O. Lab . Esse é o nosso diferencial: um laboratório liderado por um profissional com mais de 25 anos em reabilitação oral, que traduz a prática do dia a dia em protocolos digitais precisos.

 

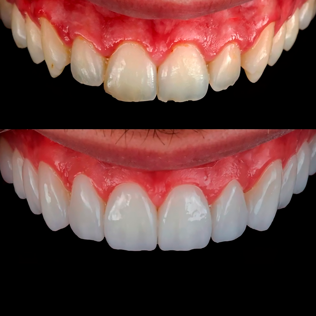
Estética, precisão e encaixe. Veja nossos resultados.

Estética, precisão e encaixe. Veja nossos resultados.

Resultados que geram confiança: veja o que os dentistas têm a dizer

Dra. Erica Torres

"O C.I.R.O. Lab é sinônimo de eficiência na minha rotina clínica. Os pedidos são entregues com agilidade, a qualidade técnica é sempre impecável e a equipe está sempre disponível para esclarecer qualquer dúvida. Um parceiro que realmente faz a diferença no dia a dia."

Dr. Christian Araujo

"Eu trabalho com o C.I.R.O. Lab pela qualidade, prazo e confiança que tenho no trabalho deles."





Dr. José Spindula Filho

"Contar com o C.I.R.O. Lab transformou minha rotina no consultório. A qualidade, o encaixe preciso e o acabamento das próteses elevaram meus resultados. O laboratório é organizado, pontual e a equipe sempre pronta para ajudar, o que me dá tranquilidade para focar no paciente e mais segurança nos planejamentos."

Dr. Carlos Bandeira

"Temos parceria com o C.I.R.O. Lab, o laboratório do grupo C.I.R.O. que trabalha com a Odontologia Digital, isso me permite oferecer aos meus pacientes um tratamento muito mais previsível e preciso, garantindo o sorriso que os pacientes desejam."


Dr. Charles Alencar

"Trabalhar com o C.I.R.O. Lab trouxe mais previsibilidade e agilidade para meu consultório. As próteses chegam com encaixe perfeito e estética impecável, reduzindo tempo de cadeira e aumentando a satisfação dos pacientes. Além disso, o suporte técnico da equipe garante segurança e qualidade nos resultados."

Resultados que geram confiança: veja o que os dentistas têm a dizer

Dra. Erica Torres

"O C.I.R.O. Lab é sinônimo de eficiência na minha rotina clínica. Os pedidos são entregues com agilidade, a qualidade técnica é sempre impecável e a equipe está sempre disponível para esclarecer qualquer dúvida. Um parceiro que realmente faz a diferença no dia a dia."

Dr. Christian Araujo

"Eu trabalho com o C.I.R.O. Lab pela qualidade, prazo e confiança que tenho no trabalho deles."







Dr. José Spindula Filho

"Contar com o C.I.R.O. Lab transformou minha rotina no consultório. A qualidade, o encaixe preciso e o acabamento das próteses elevaram meus resultados. O laboratório é organizado, pontual e a equipe sempre pronta para ajudar, o que me dá tranquilidade para focar no paciente e mais segurança nos planejamentos."

Dr. Carlos Bandeira

"Temos parceria com o C.I.R.O. Lab, o laboratório do grupo C.I.R.O. que trabalha com a Odontologia Digital, isso me permite oferecer aos meus pacientes um tratamento muito mais previsível e preciso, garantindo o sorriso que os pacientes desejam."



Dr. Charles Alencar

"Trabalhar com o C.I.R.O. Lab trouxe mais previsibilidade e agilidade para meu consultório. As próteses chegam com encaixe perfeito e estética impecável, reduzindo tempo de cadeira e aumentando a satisfação dos pacientes. Além disso, o suporte técnico da equipe garante segurança e qualidade nos resultados."

Conheça Nosso Fluxo de Trabalho

Após o recebimento do seu caso, o projeto é desenhado e enviado para sua avaliação em até 48 horas. Uma vez aprovado, a prótese é produzida e entregue em seu consultório em apenas 5 dias úteis, pronta para a instalação. 

Nosso processo digital foi pensado para oferecer precisão, agilidade e segurança em cada etapa.

  1. Envio da documentação digital ou física
    Recebemos seu caso por scanner intraoral, modelos físicos ou arquivos STL. 
  2. Planejamento e aprovação com o dentista
    Desenvolvemos o plano protético digital e enviamos para validação técnica. 
  3. Confecção da peça em sistema CAD/CAM
    Utilizamos tecnologia de ponta para usinagem com alta precisão e acabamento estético. 
  4. Entrega com suporte técnico
    A prótese finalizada é enviada com acompanhamento técnico, pronta para instalação. 

Conheça Nosso Fluxo de Trabalho

Após o recebimento do seu caso, o projeto é desenhado e enviado para sua avaliação em até 48 horas. Uma vez aprovado, a prótese é produzida e entregue em seu consultório em apenas 5 dias úteis, pronta para a instalação. 

Nosso processo digital foi pensado para oferecer precisão, agilidade e segurança em cada etapa.

  1. Envio da documentação digital ou física
    Recebemos seu caso por scanner intraoral, modelos físicos ou arquivos STL. 
  2. Planejamento e aprovação com o dentista
    Desenvolvemos o plano protético digital e enviamos para validação técnica. 
  3. Confecção da peça em sistema CAD/CAM
    Utilizamos tecnologia de ponta para usinagem com alta precisão e acabamento estético. 
  4. Entrega com suporte técnico
    A prótese finalizada é enviada com acompanhamento técnico, pronta para instalação. 

Próteses bem planejada e bem executadas para o seu sucesso clínico

Desenvolvemos soluções sob medida em prótese fixa, removível e estética, com tecnologia digital, materiais de alta performance e acabamento técnico refinado. 

Nossa linha inclui coroas em zircônia, lentes de contato dentais, facetas, onlays, inlays, próteses sobre implantes, próteses totais, removíveis, mock-ups e guias cirúrgicos. Cada peça é planejada com foco clínico, respeitando a anatomia funcional e a previsibilidade estética. 

Seu planejamento em até 48h. Sua prótese com encaixe perfeito.

Trabalhe com um laboratório que entende a sua rotina clínica. No C.I.R.O. Lab, cada caso conta com suporte técnico, comunicação direta e entrega precisa — do planejamento à instalação. 

Envie seu primeiro caso e experimente um novo padrão de agilidade, previsibilidade e acabamento. 

Tire suas dúvidas e descubra como nossos processos se adaptam à sua prática clínica.

1. Quais tipos de arquivos o C.I.R.O. Lab recebe?

Trabalhamos com arquivos digitais nos formatos STL e PLY, oriundos de scanners intraorais ou de bancada. Também aceitamos modelos físicos quando necessário, com digitalização interna. 

Após a aprovação do planejamento digital, a entrega da prótese ocorre em até 5 dias úteis, respeitando os prazos combinados previamente com o dentista. 

Sim. Enviamos o plano digital em até 48 horas após o recebimento do caso. A produção só é iniciada após validação técnica do cirurgião-dentista. 

Sempre. Nosso suporte clínico é ativo e atua diretamente com o dentista para esclarecer dúvidas, solicitar informações adicionais ou sugerir ajustes antes da confecção. 

Sim. Contamos com a coordenação do Dr. André Barbosa, com mais de 25 anos de experiência clínica, e podemos agendar reuniões para discutir detalhes estéticos, planos de prova e seleção de materiais ideais para cada caso. 

Trabalhamos com zircônia translúcida, dissilicato de lítio, cerâmicas feldspáticas e resinas específicas para mock-ups e guias. Todos os materiais são de fornecedores reconhecidos e com certificação. 

Para dentistas em Goiânia e região, contamos com logística própria. Para outras cidades, oferecemos instruções completas de envio pelos Correios ou transportadoras, com embalagem segura. 

Sim. Temos uma linha de produção flexível para demandas especiais. Consulte a equipe técnica para avaliar a viabilidade e possíveis ajustes no cronograma. 

RT CD Dr. André Luis Teixeira Barbosa – Onelab Prótese Dental SS – CRO GO-LB 170

Tire suas dúvidas e descubra como nossos processos se adaptam à sua prática clínica.

1. Quais tipos de arquivos o C.I.R.O. Lab recebe?

Trabalhamos com arquivos digitais nos formatos STL e PLY, oriundos de scanners intraorais ou de bancada. Também aceitamos modelos físicos quando necessário, com digitalização interna. 

Após a aprovação do planejamento digital, a entrega da prótese ocorre em até 5 dias úteis, respeitando os prazos combinados previamente com o dentista. 

Sim. Enviamos o plano digital em até 48 horas após o recebimento do caso. A produção só é iniciada após validação técnica do cirurgião-dentista. 

Sempre. Nosso suporte clínico é ativo e atua diretamente com o dentista para esclarecer dúvidas, solicitar informações adicionais ou sugerir ajustes antes da confecção. 

Sim. Contamos com a coordenação do Dr. André Barbosa, com mais de 25 anos de experiência clínica, e podemos agendar reuniões para discutir detalhes estéticos, planos de prova e seleção de materiais ideais para cada caso. 

Trabalhamos com zircônia translúcida, dissilicato de lítio, cerâmicas feldspáticas e resinas específicas para mock-ups e guias. Todos os materiais são de fornecedores reconhecidos e com certificação. 

Para dentistas em Goiânia e região, contamos com logística própria. Para outras cidades, oferecemos instruções completas de envio pelos Correios ou transportadoras, com embalagem segura. 

Sim. Temos uma linha de produção flexível para demandas especiais. Consulte a equipe técnica para avaliar a viabilidade e possíveis ajustes no cronograma. 

RT CD Dr. André Luis Teixeira Barbosa – Onelab Prótese Dental SS – CRO GO-LB 170

Abrir bate-papo
Olá 👋
Podemos ajudá-lo?